Dograditev in preoblikovanje zob (bonding) je postopek, pri katerem na površino zoba nanašamo material, ki se ne razlikuje od prave zobne sklenine.
|
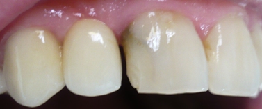
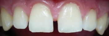
Pacient pred našo obravnavo. |
Pacientu smo z bondingom polepšali zgornjo desno enko. |
Elegantno lahko zapremo razmik med sprednjimi zobmi (diastema), preoblikujemo stranske zobe, jih podaljšamo in povečamo, restavriramo manjše odkrušitve in zapolnimo manjše presledke med zobmi.
|
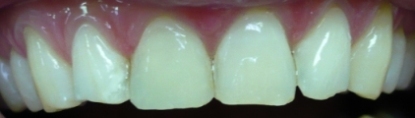
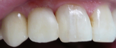
Pacient pred našo obravnavo. |
Razmike med zgornjimi sekalci smo uspešno zaprli z bondingom. |
Tovrstna rešitev (bonding) se izvede že v enkratnem obisku in je v primerjavi s porcelanskimi luskami cenovno ugodnejša.
|
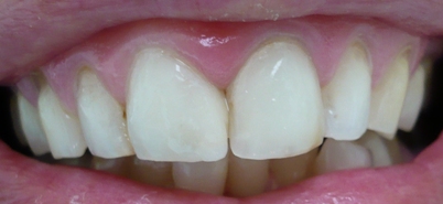
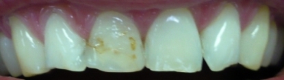
Estetsko moteča plomba na zgornji enojki in razmik |
Zamenjana plomba na enojki, razmik zaprt z bondingom |
|
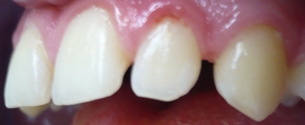
Pacientka želi hitro, enostavno in neinvazivno estetsko rešitev |
Z bondingom in notranjim beljenjem levega sekalca smo ji |
|
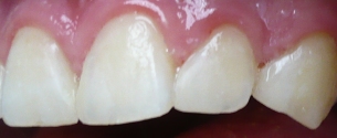
Pacient pred našo obravnavo. |
Z bondingom smo preoblikovali stranske zobe. |

