Delna proteza je snemnoprotetični zobni nadomestek, kadar zobnih vrzelih zaradi različnih vzrokov (statičnih, bioloških, finančnih) ne nadomestimo z mostički ali implantati.
Izdelana je lahko iz:
- akrilata v barvi dlesni, žičnatih zapon in tovarniško izdelanih zob
- akrilata v barvi dlesni, ogrodja iz kovinske ulite baze in tovarniško izdelanih zob
Najbolj enostavna delna zobna proteza je sestavljena iz akrilata, zob in žičnatih zapon s katerimi je pričvrščena na zobe. Prednost takšne proteze je nezahtevna in hitra izdelava. Slabosti pa so vidne žičnate zapone, prekomerna obremenjenost zob nosilcev, omejena trajnostna doba, omejena žvečna funkcija in oslabelost kosti pod krilom proteze.
Zahtevnejše in estetsko primernejše oblike delne proteze so: proteza na konusih, koreninskih kapicah ali implantatih.

Stari delni akrilatni protezi s prevelikimi zobmi in poševno grizno ravnino. Novi delni akrilatni protezi z ravno grizno ravnino.
Proteza z ulito bazo je delna proteza, ki se od navadne razlikuje po tem, da je tanjša, ker ima bazo iz kovine (omogoča boljše zaznavanje toplote, hrane in pijače ter je odpornejša pred zlomi). Zapone niso iz žice ampak so ulite kar daje boljši občutek v ustih. Z polzilom, ki ga skrijemo v prevleko se lahko izognemo neestetskim zaponam.
|
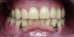
Delna proteza z ulito bazo z vidnima zaponama. |
|
1. Pacientka pred našo obravnavo s protezo z vidnima žičnima |
2. Na sekalcih smo izdelali fasetirane prevleke s skritimi polzili, |
