Takšna oblika proteze je kombinirana iz dveh delov: dela, ki je fiksno cementiran na zobeh ter snemnega protetičnega dela.
Konusi so stožčaste prevleke na zobeh, ki so pomembni predvsem za stabilizacijo proteze.
Koreninske kapice izdelamo na koreninah z zdravljenimi koreninskimi kanali.
Proteza na konusih ali koreninskih kapicah je v primerjavi z enostavno delno protezo zahtevnejša, a je estetsko in funkcionalno primernejša in bolj stabilna.
|
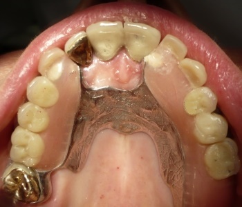
V zgornji čeljusti smo na edinem preostalem zobu izdelali konusno prevleko, ki skrbi za boljšo stabilizacijo proteze. |
V spodnji čeljusti smo na edinem preostalem zobu izdelali koreninsko kapico, ki skrbi za boljšo stabilizacijo proteze. |
|
Ležišče na protezi, kamor se prilega konusna prevleka. |
Ležišče na protezi, kamor se prilega koreninska kapica. |
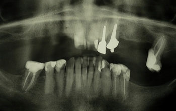
Če nimamo več naravnih zob lahko v čeljust vstavimo implantat in nanj vgradimo polzilo. To bistveno izboljša oprijem in stabilnost pri delnih ali totalnih protezah.
|
Rentgenska slika pacientke pred izdelavo delne proteze. |
Za boljši oprijem in stabilnost nove proteze smo pacientki vstavili strateški implantat. |
|
Implantat s polzilom je v brezzobem delu čeljusti bistveno povečal podporno polje proteze. |
Vstavljena delna proteza. |

